ابتسم مع زراعة الأسنان
هناك العديد من الدوافع للابتسام الآن! زراعة الأسنان في دبي تجلب البسمة على وجوه الناس! اكتشف المزيد حول هذا الشكل الرائع للعلاج هنا!
بصراحة ، هناك العديد من الأشياء المختلفة التي يجب مراعاتها. الأول هو أن هناك العديد من الدوافع الصحية التي تجعلك بحاجة إلى زراعة الأسنان.

العامل الأول الذي يجب مراعاته هو أنك قد تخضع بالفعل وتحدد العديد من الخيارات لتغيير الأسنان. ومع ذلك ، هناك بعض النقاط التي يجب تذكرها ، وهي أنه إذا كان لديك فتحة في فمك ، فإن الحد الأقصى من أطباء الأسنان يؤيدون أطقم الأسنان.
ومع ذلك ، فإن أطقم الأسنان ليست هي البديل الممتاز ، حيث يمكنها بالتأكيد أن تعاني من مشاكل. يمكن أن تتساقط وتكون غير مريحة ، لذلك نريد بعض الخيارات المختلفة.
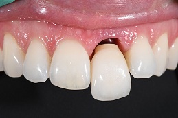
بعد ذلك ، عليك أن تضع في اعتبارك أنه قد يكون لديك في الواقع بعض المشكلات المتعلقة بفقدان الأسنان. هل فهمت أنه بمجرد وجود فجوة في فمك ، ينكمش عظم الفك لسد الفجوة!
لذلك ، هذا هو السبب في أن أطباء الأسنان يتحدثون غالبًا عن الابتسامة ، عندما يتعلق الأمر بالأسنان المفقودة. النبأ المرغوب فيه هو أن زراعة الأسنان يمكن أن تساعدك بالتأكيد على الابتسام ، لأنها تمنع هذا الثقب من الانغلاق ، ويبقى مفتوحًا ، ولديك ما يشبه الأسنان الحقيقية!
ننسى أطقم الأسنان! عندما يكون لديك زراعة أسنان ، قد تدرك أنها تعمل وتجرب بالفعل! هذا يجعل هذا الشكل من العلاج هو الأفضل.
ومع ذلك ، فإنه لا يأتي بسعر معقول. هناك الكثير من الرسوم العائمة لهذا الشكل المتخصص من العلاج. يمكن أن تصل قيمتها إلى 5000 دولار أمريكي وفقًا لزراعة الأسنان! مع الدراسات ، يمكنك أن تجدها رخيصة الثمن ، دون المساومة على الأفضل!